
小学生がバスケットでつき指をして負傷し来院しました。
小指の超音波画像で、左が患側、右が健側です。
骨折を疑わせる異常画像が見られます。
整形外科の先生にレントゲン検査をしていただきましたが、
レントゲン上の骨折は見られませんでした。
超音波観察を行っていると時々このような事が起こります。
このようなケースは治療期間が長くなるので注意が必要です。
骨に相当負担がかかったことがうかがえます。

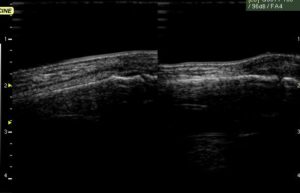
小学生がバスケットでつき指をして負傷し来院しました。
小指の超音波画像で、左が患側、右が健側です。
骨折を疑わせる異常画像が見られます。
整形外科の先生にレントゲン検査をしていただきましたが、
レントゲン上の骨折は見られませんでした。
超音波観察を行っていると時々このような事が起こります。
このようなケースは治療期間が長くなるので注意が必要です。
骨に相当負担がかかったことがうかがえます。